Home
Treatments
Tooth-colored fillings
Dental crowns
Composite bonding
Teeth whitening
We offer more than 24 treatments and procedures.
Categories
General Dentistry
Cosmetic Dentistry
Restorative Dentistry
about us
New Patient Forms
REQUESTÂ APPOINTMENT
Homepage
About
The Team
Reviews
Before & After
Book Now
Contact
4smiles@mymasterpiecesmile.com
1-865-494-0634
Book online
Close
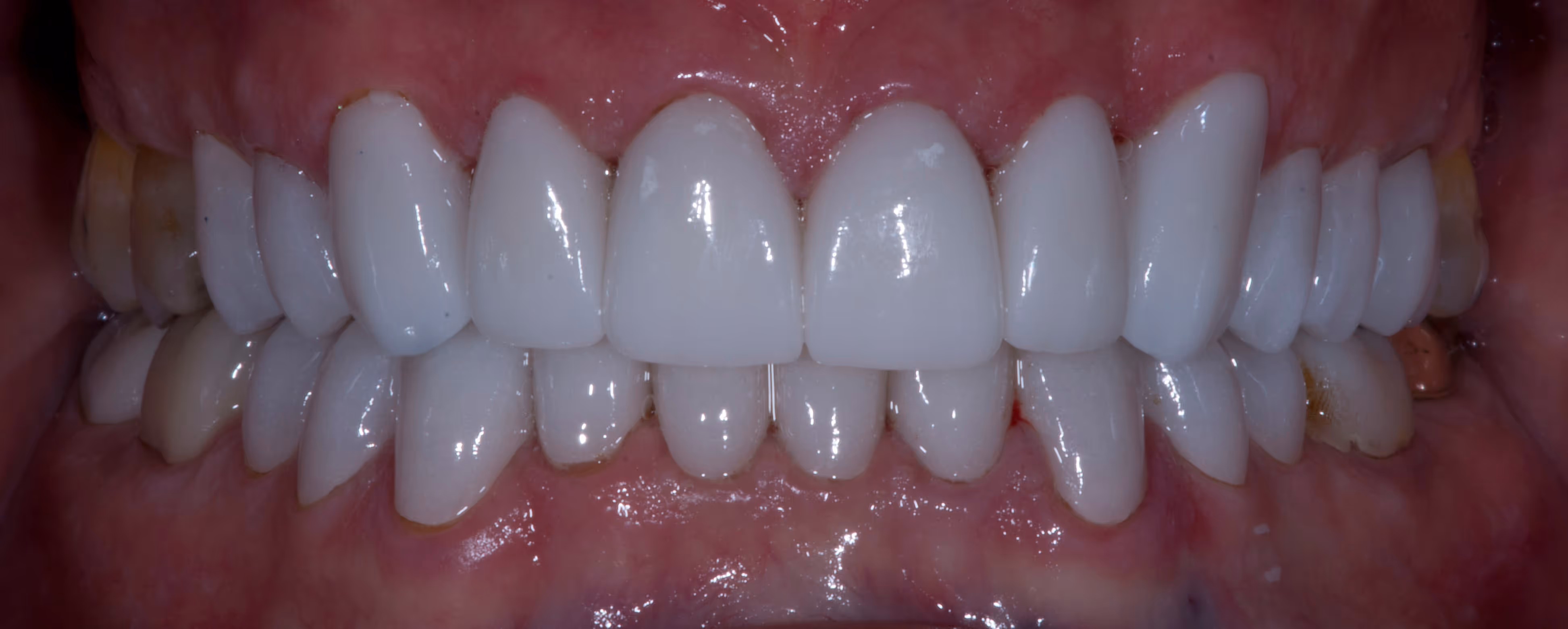
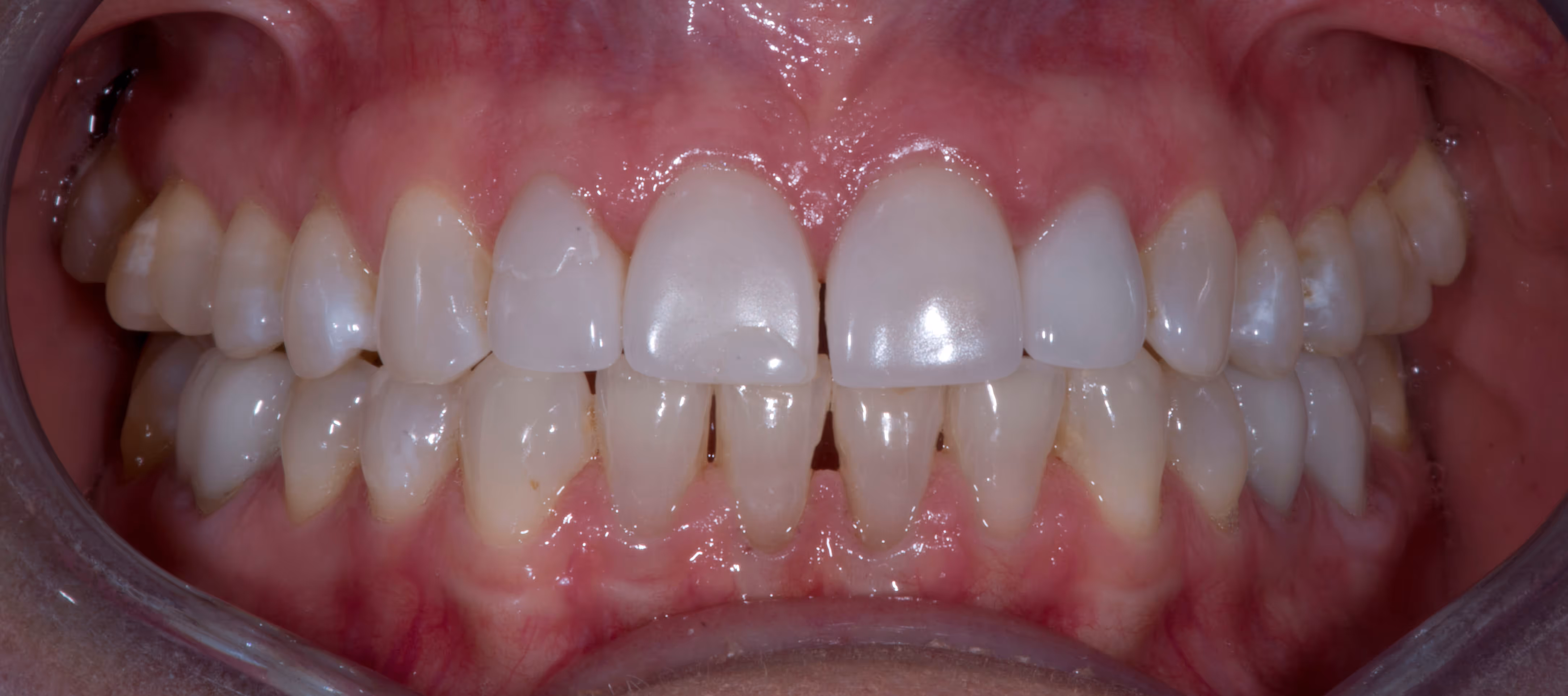
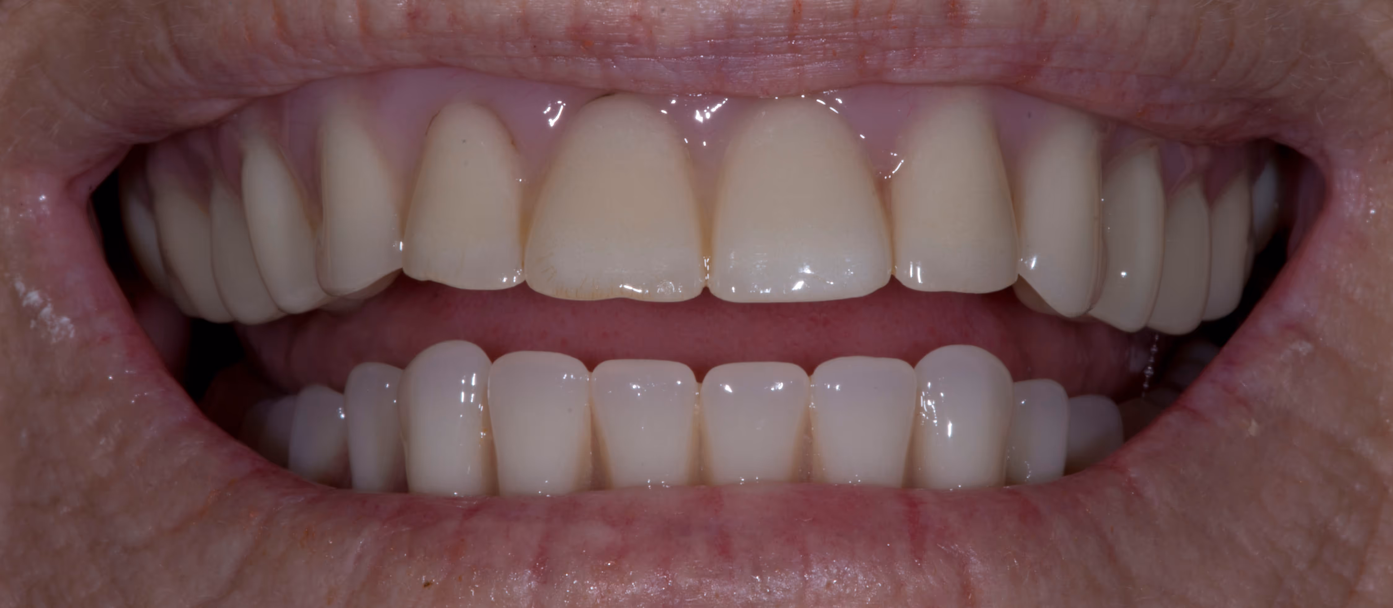
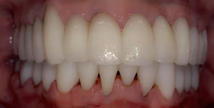
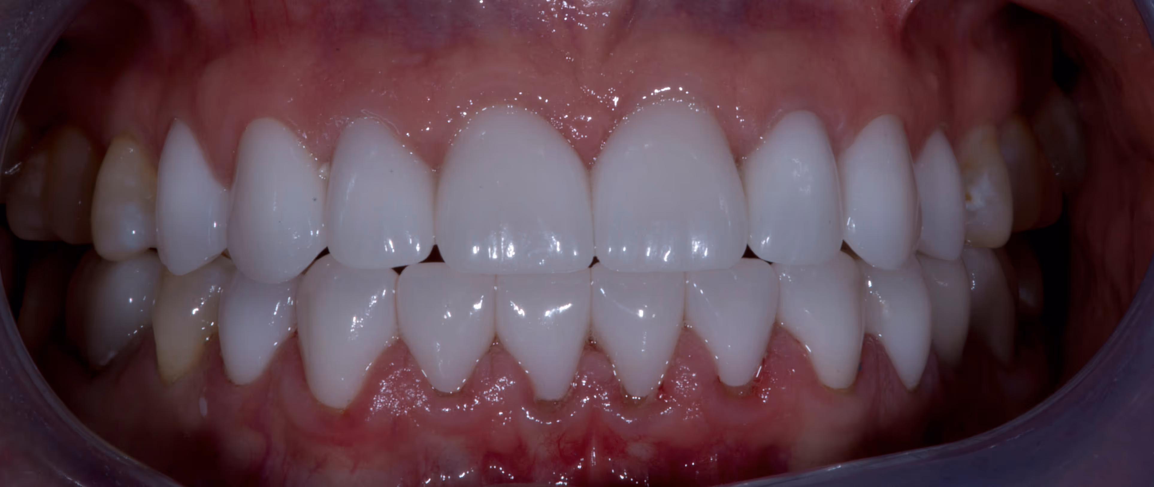
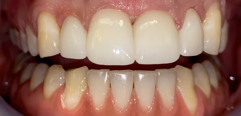
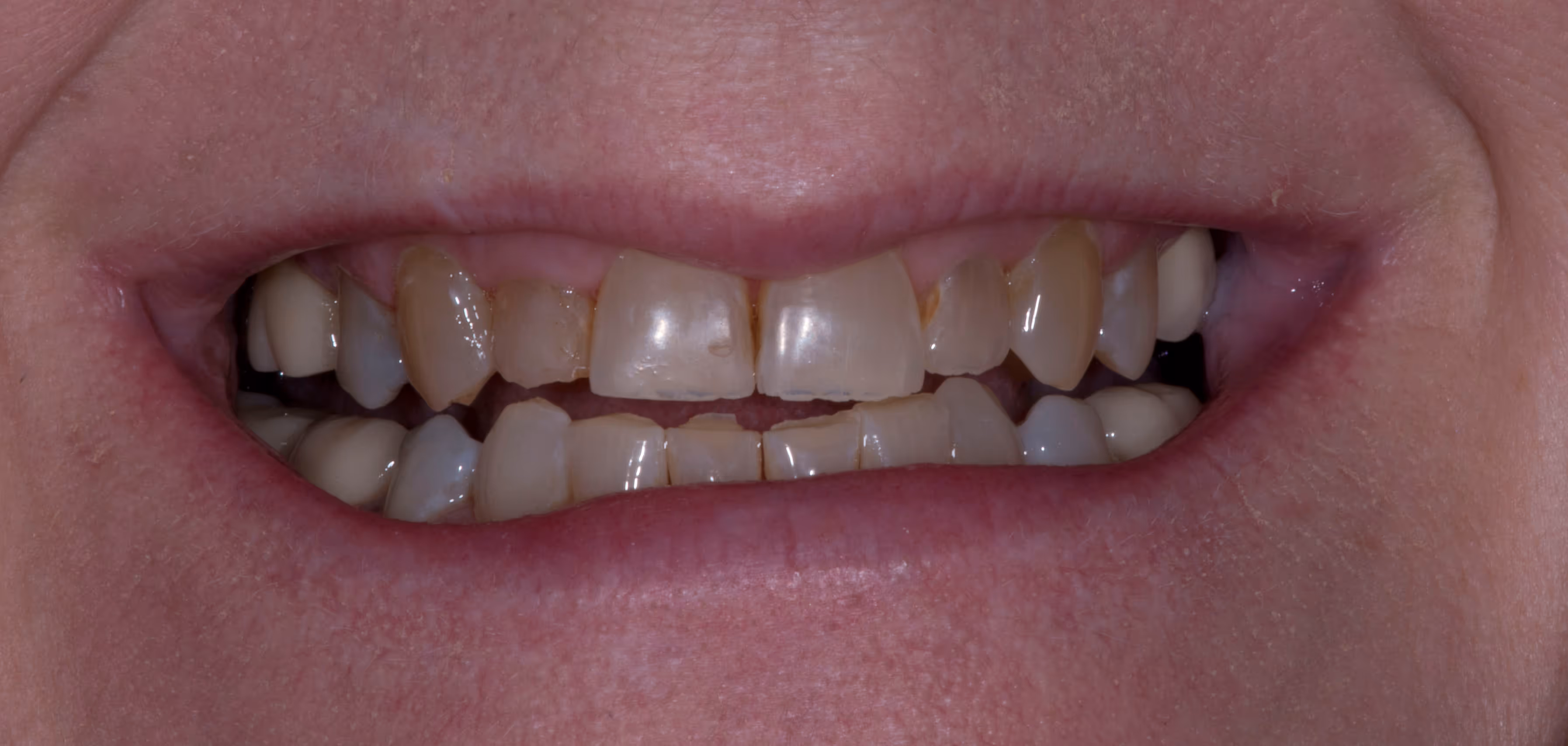
Great Smiles
Take a look at how our work has helped improved the lives and smiles of others.